Gigi bungsu.. Wisdom teeth.. Gigi geraham ke-tiga.. Impacted teeth.. Apa pun panggilannya, gigi ini sering banget jadi keluhan para pasien. Hampir tiap saya praktek, adaaaa aja yang mengeluhkan gigi ini.
Kenapa ya gigi bungsu suka bermasalah?
Gigi bungsu ini adalah gigi tetap yang terakhir tumbuh di dalam rahang kita. Usia normal pertumbuhan gigi bungsu adalah sekitar 17-21 tahun (simak juga post “Waktu tumbuh gigi susu dan gigi tetap“). Namun di jaman sekarang banyak sekali yang gigi bungsunya tidak tumbuh atau tertanam di dalam tulang karena gigi ini tumbuh saat pertumbuhan radang sudah berhenti, sehingga tidak cukup ruang. Atau bisa juga berhasil tumbuh tapi bermasalah dan menimbulkan sakit.
Masalah yang sering timbul pada gigi bungsu:
Sakit pada kepala.
Sakit kepala ini bisa terlokalisir atau menyebar. Penyebabnya bisa karena gigi bungsu menekan ujung syaraf bisa juga timbul rasa sakit karena sudah terjadi infeksi.
Gigi impaksi atau tidak bisa tumbuh.
Gigi yang tidak bisa tumbuh kadang baik-baik saja, kadang pula bisa menimbulkan masalah. Apabila di usia 17-21 tahun tidak ada tanda-tanda gigi yang mau tumbuh, lebih baik datang ke dokter gigi untuk memastikan ada atau tidaknya benih gigi bungsu. Lebih baik mencegah daripada mengobati kan? 🙂
Keadaan patologis pada tulang sekitar.
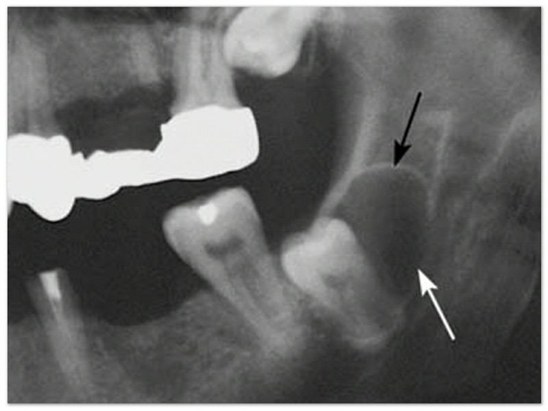
Gigi bungsu yang tidak bisa tumbuh bisa menjadi pencetus terbentuknya abses (apabila terinfeksi), tumor, atau kista.
Radang gusi di sekitar gigi bungsu (pericoronitis atau operculitis).
Hal ini terjadi karena pada saat akan tumbuh, gigi harus menembus gusi sehingga timbul celah di antara gigi dan gusi. Apabila celah ini menjebak sisa makanan, plak dan bakteri akan menjadi infeksi dan radang gusi di sekitar gigi bungsu.
Gigi berantakan.
Gigi bungsu sering tumbuh dengan arah miring ke depan, sehingga mendorong gigi-gigi di depannya dan membuat gigi di depannya menjadi berantakan. Oleh karena itu, apabila ingin menggunakan kawat gigi, dokter gigi sering menganjurkan pengambilan gigi bungsu yang menjadi penyebab gigi berantakan.
Gigi berlubang.
Gigi bungsu berada di paling belakang sehingga sering tidak terjangkau oleh sikat gigi. Akibatnya, banyak sisa makanan terjebak di sana dan menjadi penyebab gigi berlubang. Yang berlubang bisa gigi bungsu itu sendiri atau gigi di sebelahnya. Pasien sering kali tidak menyadari hal ini, tau-tau sudah sakit saja.
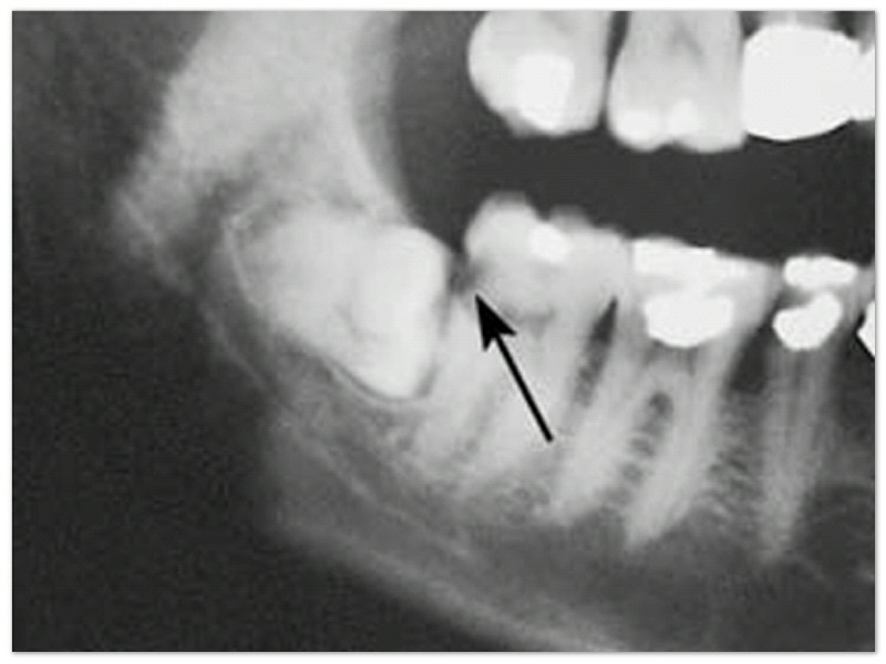
Merusak akar gigi sebelahnya.
Selain menyebabkan gigi berantakan, gigi bungsu yang arah tumbuhnya ke depan juga dapat menyebabkan gigi di sebelahnya menjadi rusak.
Mengganggu pertumbuhan gigi sebelahnya.
Selain gigi bungsunya tidak tumbuh, gigi disebelahnya juga bisa ikut terbenam.
Banyak ya masalah yang bisa ditimbulkan oleh gigi bungsu. Bisa dicegah gak ya? Tentu bisa! 😀
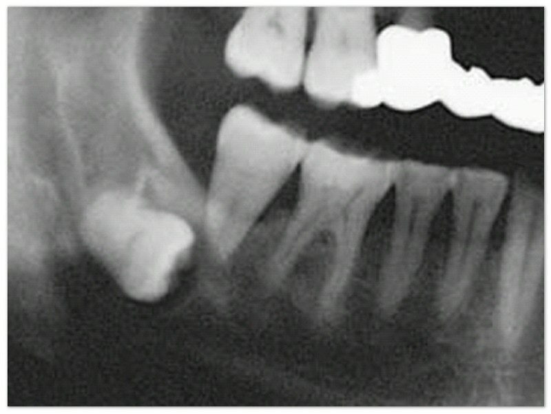
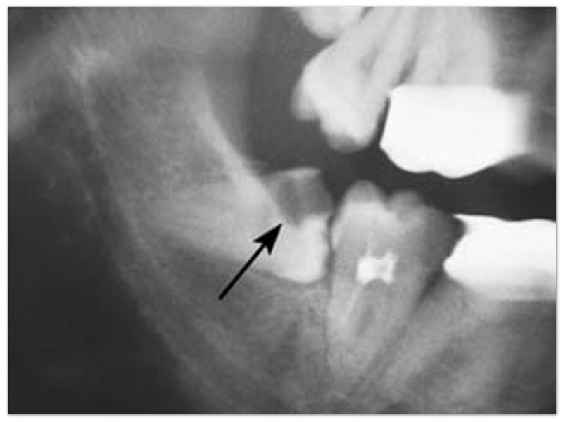
Yang pertama tentu saja dengan cara rutin kontrol ke dokter gigi. Di sekitar umur 12-15 tahun, mahkota gigi bungsu sudah terbentuk sempurna sehingga dapat terlihat apabila dilakukan foto radiograf. Dari foto radiograf tersebut, dokter gigi bisa memprediksi dapat atau tidaknya gigi bungsu tersebut tumbuh dengan maksimal.
Apabila kemungkinan besar gigi tersebut akan menimbulkan masalah, dapat dilakukan tindakan pencabutan pencegahan (pada usia kurang dari 20 tahun). Pencabutan pencegahan ini lebih menguntungkan karena akar gigi sulung masih pendek, tulang lebih lunak, sehingga penyembuhan pun akan lebih cepat.
Mau konsultasi?
Baca syarat dan ketentuannya yaaa..
Referensi & Sumber Gambar:
🌼 Oral Surgery, Fragiskos








dok, kira2 kalo gigi ujung nya di cabut/di operasi gusinya itu biaya nya brpa yaa??
Hai Dancee,
Tergantung operasinya di mana.. Kalau di RS pendidikan kurang dr 1 juta, tp klo di RS/klinik swasta bs di atas 2 juta
Dok hbis oprsi, gusi yg dibedah itu kan berlubang (bekas gigi yg dicabut) itu tumbuh lagi gak usia 26.mksh
mbak gigi bungsu bawah aku baru dicabut abis 5 hari yang lalu tapi ko rasanya jadi keluar bau bau ga sedap dari mulut padahal sebelum di cabut ga kecium bau bau kaya gituh apa mungkin bau itu dari lubang bekas cabutan gigi graham saya itu ?
trus solusi nya harus seperti apa, mohon bantuannya 🙂
slmt malam.. saya baru numbuh gigi geraham yg bungsu. tapi baru setengah tumbuhnya, tapi kenapa ya ko malah bagian pipi ( bawah telinga bengkak kiri kanan ) 😭😭😭ini kenapa ya dok ? bengkaknya juga gede 😦
Malam dr nitha….dr mau tnya madih ttp masalah gigi bungsu…ini umur saya udah 23…gigi bungsu saya msih bru pda mncul…ini muncul skli 2 sebelah kanan atas dan bawah…yg bawah msih stengah n gag sakit sich..tpi yg bermsalah sprtinya yg atas dr..bru numbuh nya dkit bgt tpi sprtinya posisi nya gag sejajar ma gigi yg lain..dy agak lbih atas…n gag tau apa kbetulan apa emng krna gigi bungsunya sjak gigi tu numbuh ..celah gigi yg sbelahnya jd sering berdarah gtu dr..itu knpa ya dr?? Mkasi
mbak nita,, aq ada keluhan,, gigi bngsu aq keduanya tmbuh,, rasanya mniksa bgt,. kalau di cbut boleh gk??? apakah ada efek sampingnya,,,, ???
mahal gkk kira???
Dok saya mau tanya. Gigi bungsu bawah saya tumbuh (muncul) ga sempurna/ miring kedepan bikin gigi sakit/ngilu dan sensitif dengan dingin. Kata dokter di puskesmas terjadi infaksi. Hrs di cabut. Minggu dpn saya mau di cek di rsud. Yg saya tanyakan. Kerusakan gigi akibat infaksi penanganannya gimana selain setelah di cabut? Soalnya gigi sampingnya rusak karena infaksi tersebut. (Rusak/bikin ngilu/email terkikis) tolong penjelasannya dok terimakasih.
dok, gigi geraham keduaku kan bolong tapi blm tmbuh smpurna baru setengahnya. ad kmungkinan ga bakal tmbuh smpurna krn ggi mamaku juga gitu. ak udah ke drg, udah ditambal 2 kali dn smuanya lepas :’) kata dokternya harus nunggu giginya tmbuh smpurna dlu. Lah kan malah ntar bolongnya makin gede+blm tentu tmbuh smpurna juga klo dilihat dr riwayat ortu. jadis solusinya gimana dok ;’) sedih bangettt nihhhh (Umur 17th)
Haii dokter atau mbak..atau ibu atau apalah.. haha 😀
Gigi kelinci saya kan 1 udah disarungi ( crown ). Sering juga konsul ke drg.. dokternya sih blg jaga giginya ya, biar awet 🙂 trus hati hati mkn. Klau mkn yg keras jgn pakai yg di crown. Ntar klo pecah atau retak itu susah diperbaiki
emang sih masangnya baru 6 bln terakhir. Yg jd pertanyaan. Emang bisa awet sampai brpa lama?? Trus klau retak gk bsa diganti dgn yg baru lg ya dok??
Aduh jadi keinget masang crownnya.. sakit banget. 😥
mba nanya dong.. gigi bungsu ku tumbuh.. gede.. gusi sekitarnya bengkak.. sakit. klo sedang mengunyah kdg an ikut kegigit.. harus minum obat apa ya? perlu kah vitamin c tambahan. skrg sy sdg mnyusui
Hai Henny, untuk obat hanya dokter gigi yang lihat kasusnya yg boleh memberikan obat.. 🙂
mbk sy mw nny,gigi bungsu sy tdk rata tumbuh ny shingga d antara gigi bungsu sm graham ada spasi dan skrg gigi grham ny brlubang dan sakit..blh gk gigi grhm ny d cabut..apakh ada solusi lain..thanks
Hi dr. Nita…
Gigi M3 sy baru tumbuh. Tumbuhnya normal (tdk miring), tp tdk sejajar dg gigi lainnya, posisinya sekitar 3.5 mm lebih keluar dekat gusi. Mahkota giginya ini sepertinya sdh maksimal tumbuhnya, tp di atasnya ada gusi yg cukup tebal, dan sakit. Pelipis kanan sy jg kadang sakit seperti ketarik2. Sy sdh ke dokter gigi dikasi obat. Tp masih tetap sakit, makin sakit malah :’D. Dalam keadaan seperti ini, apakah sebaiknya segera dioperasi aja, Dok? Apakah cukup gusinya aja yg diangkat, ato sekalian giginya?
Terima kasih 🙂
Mbak, kalo misalnya gigi geraham bungsunya cuma numbuh separo doang, jadi masih ada ruang diantara gigi geraham bungsu sama yang didepannya, kan sisa makanan suka nyelip2 tuh. Kalo sy korekin pake lidi sehabis sikat gigi malam boleh gak sih mbak aturannya? Soalnya suka sy korek2in, ya lidinya sy kecilin lagi sih ukurannya sebelum sy buat ngorek2, dan juga setiap mau ngorek2, itu lidi sy siram air anget + alkohol dulu. Biar steril gitu maksudnya. Hehehehe.
Hahaa… daripada begitu terus menerus dan bisa bikin infeksi, lebih baik giginya dicabut ajaaa..
jadi pengen ke dokter gigi nih… periksa gigi bungsu. Maksudnya yg numbuh paling belakangan itu, kan?
Iya.. Dicek aja mbak sebelum giginya berulah..
Saya.. saya.. *tunjuk tangan
Kemaren abis cabut dua geraham bungsu, total hampir 2 jutaan. Untung pake asuransi.. hehe
Goood.. Good.. 🙂
Mau nanya tentang gigi tapi bukan gigi geraham. pertanyaan lebih bagus gigi palsu atau gigi sarung ya bu nitas?
Lebih bagus yang sesuai indikasi.. Hehe.. Kalau masih bisa disarung/dijaket/dipasang mahkota tiruan, itu lbh baik.. Tp klo udah gak bisa ya dicabut & pakai gigi palsu..
Kalau masih bs disarung/dijaket/dipasang mahkota tiruan, itu lbh baik. Kalau udah gak indikasi ya dicabut & pasang gigi palsu..
Alhamdhulilah gihi bungsuku udah dicabut pas mo pake kawat jaman SMP dlu jadi ga senpet ngerasain sakit gigi yg bikin sakit ati itu :p
Umur saya 16 tahun gigi bungsu saya tinggal setengah dan sekarang lagi sakit sakitnya. 5 bulan yg lalu saya pernah sakit juga dan ditambel tapi tambelannya hancur dan giginya sekarang tinggal setengah… Apakah harus dilakukan operasi supaya tidak menimbulkan sakit lagi?
16 tahun? Yakin itu gigi bungsu yang bermasalah? Di usia segitu kemungkinan yang sudah berlubang itu gigi geraham ke-dua, gigi bungsu rata-rata tumbuh usia 17-21 tahun walau ada kemungkinan tumbuh lebih cepat atau lebih lambat. Datang kembali ke dokter giginya saja, soalnya beliau lah yang sudah pernah lihat kondisi giginya. 🙂
Halo nitaaaa….
Gigi bungsu atas aku ga keluar2.. gimana doonggg.. ㅋㅋㅋ
oi upakupa.. ah dirimu mah udah tau jawabannya..
untung gigiku rapi semuaa
Alhamdulillah 🙂
mantabh banget ilmunya Nit. Makasih ya! 🙂
Sama2.. Semoga bermanfaat 🙂
mbak gigi bungsuq bentuknya bulan sabit. aneh ya xixixiixi
Haha.. Pas aku nyabut gigi bungsu pasienku ada yg bentuknya spt payung, itu susahnya dicabutt.. Hiii..
Gigi bungsu bentuknya emg suka aneh2..hehe..
duh, yang namanya sakit gigi emang paling enggak enak banget
Lebih baik sakit hati ya? Eeehh.. 🙂
Pacar saya udah 2 bulan sakit gigi. Karena gigi bungsu ini menabrak gigi yang bolong…. ironisnya kami coba ke 3 dokter gigi dan analisa berbeda beda. Ada yang nambal saja, ada yang bilang harus bedah mulut, ada yang bilang gigi lama harus dicabut. Akhirnya cuman ditambal trus makan cataflam…. tambalan lepas… langsung bengkak lagi pipinya… -_-” malah curhat…
Hahaha.. Sbnrnya kata ke3 drg itu gak beda2 amat.. Jd m2-nya lubang dan m3-nya (si gigi bungsu) tumbuhnya miring dan masuk ke area gigi yang berlubang?
Antara m2 dan m3 biasanya m2 yang dipertahankan, tergantung besarnya lubang gigi, bisa ditambal atau dicabut. Kalau pun ditambal, sepertinya itu udah butuh perawatan syaraf.
Jika m3 yang dicabut (berhubung tumbuhnya miring) ya butuh drg spesialis bedah mulut..
Pasti belum sampai di suruh foto ronsen yaa?
Sudah mba. Saya baru ingat. Ternyata gigi yang nabrak itu gak terlalu masalah setelah ronsen. Tapi yg bolong udah kena syaraf rusaknya. Mungkin nanti bakal dicabut… nice artikel mba… pasti banyak yg mengalami masalah gigi bungsu ini.
Hai Mbak Nitha..
aku giginya dua-duanya numbuh dan rasanya sampai dengan usia lebih dari yang mbak nitha tuliskan itu masih kerasa sakitnya.
Gigi yang pertama tumbuh normal. Unfortunatelly, tidak ada ruang, saya sudah operasi untuk menggunting gusinya. Alhamdulillah saat ini baikbaik saja.
Nah, yang satunya nih yang bikin saya gak karuan. Giginya sakit gak karuan, Dan posisi giginya tidur. 😦 harus dioperasi besar. Ah.. takut biaya sama ngelihat di youtube begitu bener 😦
Gak operasi besar koook, operasi minor itu masih.. Yuk diambil giginya, sama spesialis bedah mulut tapii..
Iya. harus ke rumah sakit besar. Dokter gigi yang biasanya udah ndak bisa nerima lagi 😦
Kalo aku gak ada masalah sama gigi bungsu nit, cuma lagi pengen mutihin gigi aja. nih ada masalah juga sama bekas kawat gigi, ntah lemnya ngrusak atau masih nempel, di tengah giginya kayak cadas (bekas berbentuk lingkaran gitu) sementara di sekelilingnya lebih licin. duh -__-
Iya sering banyak yang bermasalah gitu setelah pakai kawat, abis lahiran segera dibersihkan ya mbak, kalau setelah dibersihin masih kurang cerah, baru di-bleaching giginya..
Kudu nunggu lairan ya, oke deh 😉
Iya.. Perawatan gigi klo gak emergency lbh baik ditunda.. 😀
Noted!
Gw bermasalah banget.. udah tumbuhnya sakit.. sekarang malah lubang.. haiizzz s(・`ヘ´・;)ゞ
Yuuuk ke dokter gigi yuuuuk.. 🙂
Waaa sering mba nit, mungkin karena itu ya, sikat gigi gak menjangkau sampai sana, pas ada sisa makanan yg terjebak jadi infeksi, gusi bengkak, kalo udah umur 24 gini gimana mbak nit ??
Ke dokter gigi dooong.. Sapa tau bs gak dicabut, hehehe..
waktu tumbuh sakit bgt, giliran udah nongol bolong segede2nya, dan akhirnya gigi bungsu kanan yang terakhir tumbuh akhirnya yang pertama wafat, alias dicabut sangking hebatnya bolongnya sampe abis itu mahkotanya, jadi mending dicabut aja huhuhu mana kaga diganti ama kantor lagi biayanya *ehkokcurcol
Itu karena gigi paling belakang susah dibersihkannya, makanya tiba2 aja bolong, gede pula.. Hehe..
saya,,,gigi bungsunya tumbuh tapi setengah doang kayaknya,,kadang kalau makan kacang trus nembil di gigi bungsungnya pasti langsung bengkak deh gusi disekitarnya,,
Hooo.. Itu pericoronitis namanya Mbak.. Biasanya kalau kumat diobatin pake apa? Ttg pericoronitis udah dibuat post-nya, hehe, schecule-nya lusa.. 😀
jadi gak sabaran pengen baca ttg pericoronitis, 😀 bahaya gak sih kalo gigi bungsunya cuman tumbuh setengah gitu?
kalo bengkak biasanya saya minum cortidex (isinya dexamethason),,,
Udah foto ronsen atau belum? Klo pericoronitis belum tentu dicabut, tergantung posisi giginya juga.. Drpd kambuhan terus & menghambat produktivitas, mendingan cpt ditangani mbak.. Sering makan obat antiinflamasi jg gak bagus, biasanya obat itu terpaksa banget diresepin..
belum pernah ronsen sih,,,tapi akyuu takut kalau harus dicabut, soalnya pernah liat di youtube simulasi buat cabut gigi bungsunya itu gusinya plus rahang dibeleh trus dicabut deh giginya, bener gak sih kayak gitu,,?hiks,,
kalau minum obat anti inflamasinya beli atas insiatif sendiri, kan saya dulu kuliah apoteker 😀
Haha.. Makanya diperiksa dulu.. Sapa tau masih bs dipertahankan.. 😉
juga menjadi masalahku sekarang karena harus di OP tapi males kalau bengkak hihi
Minta obat yang paling paten.. Hahha.. Lagipula klo bengkak, gak lama kook..
Benernya sih pengen gw cabut aj.. udah tinggal mahkota doang.. lainnya ancur.. tapi ya itu.. ngaruh gak ya ama kegiatan menyusuiku???
Tinggal mahkotanya doang atau tinggal akarnya?? Nggak ganggu kok.. Daripada masalahnya tetep ada & tiba2 ‘isi’ lagi, hihihi..
Mahkota dan akar.. hohohoho.. siplah! Atur jadwal ke RS Gigi dan Mulut kalau gitu.. siap untuk dicabut!! Eikeh udah sebel ama kesusahan mengunyah ini…
Sip sip.. Semangaaaat!!