Ayo tebak gigi di atas itu gigi aselik atau palsu?
Kalau ditanyain tentu saja jawabannya adalah palsu. Hehehe.
Suatu hari temanku kedatangan pasien yang giginya patah karena jatuh dari motor, patahnya sampai ke pulpa sehingga gak bisa ditambal dengan tambalan sederhana, harus dilakukan perawatan syaraf, pemasangan pasak dan mahkota tiruan (crown) atau gigi jaket.
Penasaran? Begini kasusnya… 😀
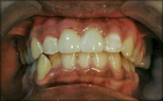
Foto di atas merupakan kondisi gigi sebelum dilakukan tindakan. Terlihat kalau patahnya sampai kehilangan setengah dan sepertiga mahkota gigi dan sudah pasti pulpanya terbuka. Pulpa adalah bagian di dalam gigi yang terdiri dari pembuluh darah dan syaraf, jadi gak bisa asal tambal. Pulpanya harus dirawat dulu dengan perawatan syaraf atau perawatan saluran akar (PSA).
Setelah dilakukan PSA gigi diobservasi sekitar 1 minggu atau lebih jika kondisi gigi masih meragukan. Setelah itu dilakukan pemasangan pasak yang ukurannya sesuai dengan saluran akar.
Tahap selanjutnya adalah membangun kembali inti gigi, lalu dilakukan pembentukan mahkota gigi. Setelah bentuk yang diinginkan tercapai, gigi dicetak, hasil cetakannya dikirim ke Laboratorium, pemilihan warna gigi yang paling sesuai, dan tadaaa… Gigi tampak utuh kembali. 🙂
Mahkota gigi disementasi secara permanen, jarang banget ada kasus yang mahkota giginya lepas sendiri. Walau begitu bukan berarti mahkota tiruan atau gigi jaket ini bisa dipakai seumur hidup. Setiap 5–10 tahun mahkota tiruan ini harus dibongkar dan diperbarui soalnya kita gak tau kan bagaimana kondisi gigi di dalam mahkota tiruan tersebut. 😉
Ditulis oleh drg. Justisia Nafsi Yunita
Operator dan foto: drg. Rahmat Hidayat (drg.rahmathidayat@gmail.com)






Dok, dua gigi depan sudah keropos parah, ingin di jaket, tapi giginya tidak rata..
seperti kelinci, 2 gigi dipaling depan, 4 gigi disampingnya agak kebelakang..
apakah bisa? terima kasih..
Praktek di mana dok?
Di Bekasi & Cikarang..
Dok mau nanya kalau gigi yang sudah di crown apakah aman untuk diganti karena warna porselennya jadi kuning dan berbeda dr gigi lain. Proses penggantiannya apakah mencabut pasak juga, krn ini crown model lama, yg nyambung sampai atas. Trima kasih..
Buka praktek dimana dok ?
dear bu nita.. kira2 berapa biaya yg dikeluarkan untuk membetulkan gigi yg patah secara permanen seperti kasus diatas?
rata-rata minimal 1 juta per-giginya..
Salam dokter,
Jd pengen nanya juga ni abis blogwalking dimari hehe. Gigi ku udah ancur2an dr kecil mudah berlobang dan males juga anaknya (ngacung bersalah)
Sekarang geraham bawah kiri kanan udah dicabut karna pakai kawat. Gigi 5 kiri udah ga ada. Kepikiran mau buat gigi tiruan tp mau dikawat juga. Mending ke ortho dulu apa ke prostho dulu ya?
Terimakasiii ibu dokter 🙂
Biayanya berapa ya bu dpkter kira2 untuk kejadian seperti di atas. Gigi saya patah 2 tadi sore kecelakaan dari motor. Dan apakah langsung bisa di rawat edodontik gitu?
Hoalaaaah. Jadi gak permanen ya? Dua gigi depanku pernah patah tapi cuman ditembel biasa sih. Sekarang kerasa bolong-bolong semua. 10 tahun lalu kejadiannya. Eh lebih ding kali ya. Cuma kalo mau periksa mah sereeemmm.
Crown ini sementasinya permanent, jd hrs inisiatif bongkar sendiri…
Kalau cuma ditambal kemang cepat rusaknya..
Kalau komentarnya bagus, baru kuterima…
Wauih ngeri lihat gigi diatas. Saya ada dua gusi yang kurang bagus, bisa dijaketin gak ya?
Jaketin gusi? 😀
Gigi ku dua biji di jaket mbaaa Nit. Katanya tahan sampe 10 tahun ya cuma jangan gigit yang keras2 aja. Ini udah 4 tahun dan sama sekali gak kontrol ke dokter. Biasaaaa, males 😛
Hahaa.. 6 bulan sekali lah dicek sekalian scalling biar gak numpuk karang giginyaaa..
Mbaaa serem banget… Gigiku juga patah separo gara2 makan keripik pisang (nyebelin ya) terus lubang sampai ke akar.. Terus sharing informasinya terus ya bu dokter.. Aku selalu nyimak 🙂
Wah, segera ke dokter gigi dong, sayang giginya kalau gak dirawat
Aih, melihat gigi yang seperti itu saya jadi ngilu sendiri, Mbak. Mudah-mudahan kita dijauhkan dari kecelakaan-kecelakaan seperti itu ya. Detil Mbak penjelasannya, saya jadi bisa memikirkan bagaimana prosesnya, cuma kecil banget ya bidang kerjanya, jadi butuh ketelitian yang tinggi :hehe.
Kadang orang suka lupa nggak sama pengecekan lima (atau sepuluh) tahun sekali itu? Penting ya pengecekan itu, mana tahu ada masalah dengan sambungan giginya kan :hehe.
Aamiiin, ini masih kurang detil Gar.. ada kasus yang aku kerjain sendiri tapi ada di laptop yang sekarang udah hidup segan mati jangan sampai.. 😀
Serem bangat lihatnya hiksss hikssss…
Jangan serem,, hehehe..
wah baru kemarin saya habis dari dokter gigi di tebet kak.. dokternya detail, niat mau bikin tambalan malah liat gigi saya yang patah waktu kecil. trus beliaunya bilang suruh ronsen gigi. kaena takutnya gigi patah dan mati itu bisa bikin kista gigi..
kok saya jadi takut ya
iya, ada kemungkinan berkembang menjadi kista.. mudah2an gak. jadi mendingan foto ronsen saja, daripada telat keburu sakit..
Ini kaya suamikuu, kalo brangkat kantor dia naik motor biar cepet. Suatu hari jatuh nyungsruk dan gigi depannya patah.. Trus dijaketin. Katanya sebelumnya di “kikir” dulu dan linuuu 😂. Bener nggak ya sama kasusnya?
Kalau masih ngilu, kemungkinan cuma pakai jaket tapi gak pakai pasak.. 😀